セラミック治療
- 大船の歯医者「大船みらい歯科」TOP
- セラミック治療
歯の色や見た目のお悩みに、
セラミック治療という選択を

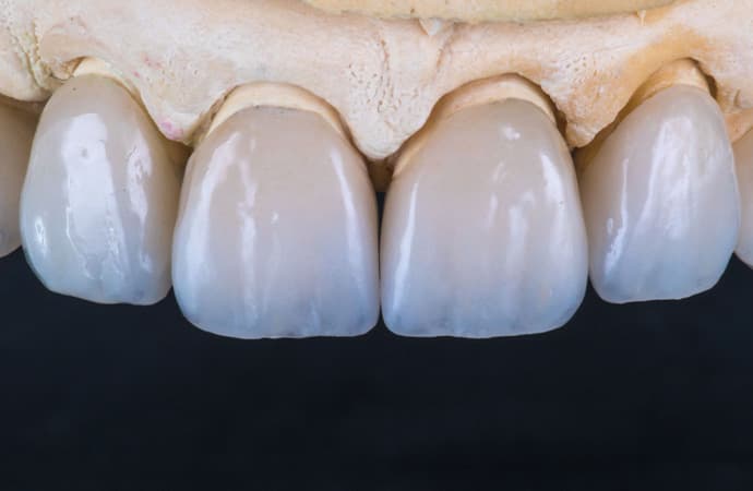
「銀歯の見た目が気になる」「過去の治療で入れた歯の色が周りの天然歯と合っていない」そんな見た目のお悩みはありませんか?セラミック治療は、天然歯に近い透明感と白さで見た目の美しさを追求できるだけでなく、虫歯の再発リスクを抑える耐久性・機能性にも優れた治療法です。
大船の歯医者「大船みらい歯科」では、患者さまのお口の状態を丁寧に確認したうえで、一人ひとりに合わせたセラミック治療をご提案しています。
当院のセラミック治療の
こだわり

どれだけ美しいセラミックを入れても、土台となる歯や歯根の状態が不安定では長持ちしません。当院では、セラミック治療を始める前に、虫歯の有無・以前の治療の状態・歯根の状態まで丁寧に確認します。
虫歯が残っている場合はしっかり治療し、根管治療が必要な場合は完了させてから土台を立て、セラミックの作製へと進みます。歯周病がある場合も、まず歯ぐきの状態を整えてから治療を進めます。土台から丁寧に整えることが、セラミック治療を長く美しく保つための大切な前提だと考えています。
密な処置で再発を防ぐ、
マイクロスコープによる治療

治療の精度が、詰め物・被せ物の適合性や虫歯の再発リスクに大きく影響します。当院では歯科用マイクロスコープで患部を最大数十倍に拡大して治療を行うことで、わずかな虫歯の見落としを防ぎ、歯を削る量を最小限に抑えながら、セラミックが隙間なくフィットする精度の高い仕上がりを実現します。
機能性・審美性を両立した
オーダーメイド治療

セラミック治療は、見た目を美しくするだけではありません。しっかり噛める・噛み合わせが安定するなど、お口全体の機能回復も重要な要素です。
当院では、患者さまの表情やお顔立ちに合わせながら、長く快適に使えることを前提に、機能性と審美性を両立したオーダーメイドの詰め物・被せ物を作製します。天然歯と見分けがつかない自然な仕上がりを目指します。
歯科医師と技工士が二人三脚で
追求する、精密な仕上がり

当院は法人グループの開業当初より約30年にわたり、歯科技工所「デンタル・ビジョン」と連携し、質の高い補綴治療を追求してきました。歯科医師と技工士が直接連携することで、色調・形態・噛み合わせに至るまで細部にわたる精密な調整が可能です。
患者さまのご要望や周囲の歯との調和を大切にしながら、長く快適にお使いいただける詰め物・被せ物を目指します。
丁寧なシェードテイクで、
理想の色を一緒に決める

特に前歯など人目につきやすい部位では、周囲の天然歯との色合わせ(シェードテイク)が非常に重要です。当院では、歯科医師が患者さまと一緒に色調を確認しながら、ご希望を伺い周囲の歯との調和を丁寧にすり合わせていきます。「思っていた色と違った」というミスマッチを防ぎ、納得いただいたうえでイメージ通りの自然な仕上がりを目指します。
治療後も長く安心、
充実の保証制度

患者さまに安心してセラミック治療を選んでいただけるよう、当院では独自の保証制度を設けています。e-max(セラミック)は3年間、ジルコニア・ラミネートベニアは5年間が保証期間となります。
ただし、保証を受けるには6ヶ月以内に1回以上のメインテナンス受診が必要です。詰め物・被せ物を長く快適にお使いいただくためにも、定期的なメインテナンスをぜひご活用ください。
対応メニュー
ジルコニアインレー

金属アレルギーの心配がなく、非常に高い強度を持つ白い詰め物です。奥歯の大きな虫歯治療にも適しており、欠けにくく耐久性に優れています。
セラミックインレー(e-max)

ガラスセラミックを主成分とし、天然歯に近い透明感と美しさを持つ詰め物です。見た目を重視する方や、目立つ部分の治療におすすめです。
ジルコニアセラミッククラウン

ジルコニアの土台にセラミックを重ねた被せ物です。強度と審美性を兼ね備え、奥歯から前歯まで幅広く対応できます。
セラミッククラウン(e-max)

すべてガラスセラミックでできた被せ物で、天然歯に近い透明感と光の透過性を持っています。特に高い審美性が求められる前歯などに適しています。
ファイバーコア

歯根に立てる土台として、金属の代わりにグラスファイバーを使用します。弾力性があり歯根への負担が少なく、金属アレルギーの心配もありません。
ラミネートベニア

歯の表面をわずかに削り、薄いセラミックのシェルを貼り付ける治療です。すきっ歯・軽度の変色・歯の形の改善など、前歯の審美治療に用いられます。
保険の白い歯を選ぶ前に、
知っておいて
ほしいことがあります

保険適用のCAD/CAM冠は、費用を抑えながら白い歯にできる点で優れた選択肢です。ただし、素材の特性上、年月とともに変色・着色が生じやすく、強度や耐久性の面では自費のセラミック素材に及ばない部分があります。
セラミックは費用こそかかりますが、天然歯に近い透明感と高い耐久性を兼ね備えており、長期的により高い満足度が得られる選択肢です。当院では保険・自費それぞれのメリットとデメリットを丁寧にご説明したうえで、患者さまのご要望に合った治療を一緒に決めていきます。